Συντάκτης Γιώργος Κουτσικάκης Χειρουργός Οδοντίατρος Μ.Sc., medlabnews.gr
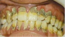
Οι χημικές ουσίες στις πισίνες μπορεί να οδηγήσουν στο δυσχρωματισμό των δοντιών αν κολυμπάτε πολλές ώρες.
Έρευνες έδειξαν ότι παραμονή στο νερό για πάνω από 6 ώρες την εβδομάδα κατέληξαν σε δυσχρωματισμό των προσθίων δοντιών.

Η αιτία είναι το αυξημένο pH του νερού με συνέπεια να διασπώνται οι πρωτεΐνες του σάλιου και να δημιουργούνται σκούρες κηλίδες στα δόντια.
Επιπρόσθετα η αδαμαντίνη των δοντιών ‘’μαλακώνει’’ με αποτέλεσμα ευπάθεια στην τερηδόνα και την καταστροφή.

Η επίσκεψη στον οδοντίατρο για καθαρισμό , φθορίωση και λεύκανση των δοντιών μπορεί να αντιμετωπίσει το πρόβλημα.

Σε αθλητές της κολύμβησης συχνά είναι αναγκαία η προστασία των δοντιών με στεφάνες, ανθεκτικής στα χημικά, πορσελάνης.
Συμπέρασμα: χαρείτε το κολύμπι στην πισίνα και αθληθείτε γιατί τα ωφελήματα είναι πολλά. Λάβετε όμως και τα μέτρα σας για να προστατέψετε την υγεία των δοντιών σας.
Πηγή: medlabgr.blogspot.com
Ιατρικά Νέα Θέματα για την υγεία | Το εγκυρότερο ελληνικό portal με θέματα υγείας, διατροφής, ομορφιάς, φυσικής κατάστασης, ιατρικών θεμάτων
