Home / Υγεία / Δόντια / Η αισθητική ζώνη του στόματος
Η αισθητική ζώνη του στόματος

Η αισθητική ζώνη του στόματος

Συντάκτης Γιώργος Κουτσικάκης Χειρουργός Οδοντίατρος Μ.Sc., medlabnews.gr
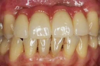
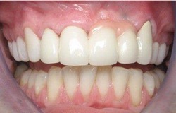
Ονομάζεται έτσι  η περιοχή που φαίνεται όταν γελά ένας άνθρωπος. Σε άλλους φαίνεται μέρος των 6 προσθίων  πάνω δοντιών, σε άλλους φαίνονται τα πρόσθια δόντια και τα ούλα, σε άλλους φαίνεται σχεδόν όλη η οδοντοστοιχία και τα ούλα. Σε μερικούς δεν φαίνονται καθόλου τα πάνω δόντι α αλλά μόνο τα κάτω.  Επίσης, στο ίδιο άτομο, με την πάροδο του χρόνου  η θέαση  των δοντιών μπορεί να αλλάξει.
Με τις σύγχρονες μεθόδους της οδοντιατρικής προσπαθούμε να επιτύχουμε το μέγιστο δυνατό αισθητικό αποτέλεσμα σε κάθε περίπτωση στην αισθητική ζώνη.
Μπορούμε να αναδιαμορφώσουμε το χρώμα, το σχήμα, το μέγεθος  και τη διάταξη των δοντιών όπως και τη σχέση τους με τα ούλα, τα χείλη και εν γένει το πρόσωπο.
Αυτό μπορούμε να το επιτύχουμε ή από σκοπού ή όταν μία παθολογική κατάσταση το επιτάσσει. Δηλαδή μπορούμε ή να κρατήσουμε το χαμόγελό σας όπως η φύση το έφτιαξε, ή να το διορθώσουμε σκόπιμα, ή αν παρουσιασθεί βλάβη να εκμεταλλευτούμε την ευκαιρία για μία αισθητική αλλαγή.
Πηγαίνοντας από απλούστερες σε συνθετότερες παρεμβάσεις:
  • Καθαρισμός  και στίλβωση των δοντιών. Μερικές φορές είναι επαρκής για να φύγουν χρωστικές  π.χ. από κάπνισμα.
  • Λεύκανση των δοντιών. Γίνεται στο ιατρείο ή και στο σπίτι.
  • Ελαχιστότατος τροχισμός  δοντιών με ειδικά εργαλεία (esthetic contouring) για μικροδιορθώσεις.
  • Άμεσες όψεις συνθέτων ρητινών που κατασκευάζονται στο ιατρείο και με την τεχνική της διαστρωμάτωσης ( ξεχωριστά το  σώμα της οδοντίνης, της αδαμαντίνης, του κοπτικού άκρου   κ.λ.π.
  • Έμμεσες όψεις συνθέτων ρητινών. Κατασκευάζονται στο εργαστήριο.
  • Όψεις πορσελάνης. Κατασκευάζονται στο εργαστήριο. Επιτρέπουν τη διάθλαση του φωτός σαν να είναι φυσικά δόντια.
  • Αυχενική πορσελάνη σε  στεφάνες και γέφυρες μεταλλο-πορσελάνης. Εκεί που η στεφάνη έρχεται σε επαφή με τα ούλα υπάρχει μόνο πορσελάνη χωρίς μέταλλο. Με αυτόν τον τρόπο αποφεύγεται το γκριζάρισμα του μετάλλου όταν έχουμε λεπτά ούλα.
  • Ροζ πορσελάνη.Για να μην κάνουμε υπερμεγέθη δόντια
βάζουμε ροζ πορσελάνη, ίδιου χρωματισμού με τα φυσικά δόντια.
  • Ολοκεραμικές στεφάνες και γέφυρες. Χρησιμοποιείται ειδική πορσελάνη χωρίς τη χρήση μεταλλικού σκελετού. Το υλικό και οι τεχνικές συγκόλλησης των στεφανών  επιτρέπουν τη διάθλαση του φωτός και την εξαιρετική φυσικότητα.
  • Ουλοπλαστικές  χειρουργικές επεμβάσεις
  • Ορθοδοντικές μετακινήσεις
Πρέπει να θυμάστε πάντα  ότι η φύση είναι αναντικατάστατη. Κάθε καλό αποτέλεσμα θέλει καλή συντήρηση, που σημαίνει επιμελημένη στοματική υγιεινή και έλεγχο από τον οδοντίατρο.  Τα ούλα, που είναι η ‘’κορνίζα’’ των δοντιών πρέπει να επιδιώκετε να είναι σε υγιή κατάσταση.

Πηγή: medlabgr.blogspot.com

Διαβάστε επίσης

Λευκοπλακία. Προκαρκινική βλάβη στο στόμα, που πρέπει να αφαιρείται

Λευκοπλακία. Προκαρκινική βλάβη στο στόμα, που πρέπει να αφαιρείται

Συντάκτης Γιώργος Κουτσικάκης Χειρουργός Οδοντίατρος Μ.Sc., medlabnews.gr Η λευκοπλακία είναι μία μη ειδική λευκή πλάκα, πάχους …