Συντάκτης Γιώργος Κουτσικάκης Χειρουργός Οδοντίατρος Μ.Sc., medlabnews.gr
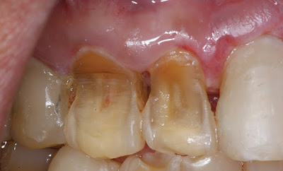
Είναι η φθορά της εξωτερικής επιφάνειας των δοντιών που οφείλεται σε χημικά αίτια. Προσβάλλεται αρχικά η αδαμαντίνη (το σμάλτο) και στη συνέχεια η υποκείμενη οδοντίνη .
Η πρόσληψη όξινων ποτών και οι εμέσεις ή εκκρίσεις του γαστρεντερικού σωλήνα προκαλούν τη διάβρωση των δοντιών.
Έτσι λοιπόν οι όξινες πηγές διακρίνονται σε εξωτερικές και εσωτερικές.
Οι χυμοί φρούτων, οι σόδες, η μπίρα, το κρασί, η κοκακόλα , το σπράιτ, το ανθρακούχο νερό δημιουργούν όξινο περιβάλλον (χαμηλό ph) και προκαλούν αφαλάτωση των δοντιών. Το σάλιο όμως επανασβεστιώνει σύντομα τις οδοντικές επιφάνειες. Αν η κατανάλωση των όξινων ποτών είναι μεγάλη, το σάλιο δεν προλαβαίνει να δράσει και τα δόντια διαβρώνονται.
Κάποια φαρμακευτικά προϊόντα όπως η βιταμίνη C και η ασπιρίνη είναι δυνατόν να προκαλέσουν διάβρωση. Επίσης το χλωριωμένο νερό της πισίνας προκαλεί παρόμοιες αλλοιώσεις σε αθλητές και άλλους που κάνουν πολύ συχνή χρήση.
Ασθενείς που πάσχουν από γαστροοισοφαγική παλινδρόμηση είναι δυνατόν να παρουσιάσουν διάβρωση των δοντιών.
Σε περίπτωση συχνών εμέτων όπως στη νευρική ανορεξία, ή στη βουλιμία ή και στην εγκυμοσύνη μπορεί να παρουσιαστεί διάβρωση των δοντιών ιδίως στη γλωσσική επιφάνειά τους.
Η διάβρωση περιπλέκεται μερικές φορές και με αποτριβή όπως όταν γίνεται οριζόντιο βούρτσισμα με σκληρή οδοντόβουρτσα (βλέπε σχετική αναφορά).
Η διάβρωση μπορεί να είναι είτε ανώδυνη η οδυνηρή σε ζεστά ή κρύα ερεθίσματα. Μπορεί επίσης να επιπλακεί με τερηδόνα.
Πώς αντιμετωπίζεται;
Μετά την κατανάλωση όξινων ή τις εμέσεις, μη βουρτσίζετε ποτέ αμέσως τα δόντια. Καλύτερα είναι να ξεπλύνετε το στόμα σας με νερό. Περιμένετε τουλάχιστον μισή ώρα και βουρτσίστε με μαλακή οδοντόβουρτσα.
Περιορίστε την ποσότητα των όξινων προϊόντων και προστατέψτε τα δόντια σας με φθοριούχα διαλύματα. Μπορείτε να μασάτε τσίχλες χωρίς ζάχαρη, όπως οι μαστίχες Χίου, για να διεγείρονται οι σιαλογόνοι αδένες ώστε να παράγεται το ευεργετικό σάλιο. Η κατανάλωση γαλακτοκομικών είναι ιδιαίτερα ευεργετική.
Θεραπευτικά προσπαθούμε να άρουμε τα αίτια που προκαλούν τη διάβρωση και στη συνέχεια να αποκαταστήσουμε τις βλάβες με διάφορες μεθόδους της επανορθωτικής οδοντιατρικής: Εμφράξεις, όψεις, στεφάνες κ.λ.π.
Πηγή: medlabgr.blogspot.com
Ιατρικά Νέα Θέματα για την υγεία | Το εγκυρότερο ελληνικό portal με θέματα υγείας, διατροφής, ομορφιάς, φυσικής κατάστασης, ιατρικών θεμάτων


