του Γιώργου Κουτσικάκη, Χειρουργός Οδοντίατρος Μ.Sc., medlabnews.gr
Όταν ένας φρονιμίτης της κάτω γνάθου δεν έχει ανατείλει καλά, είναι ημιέγκλειστος όπως λέμε, καλύπτεται μερικώς από ούλα, την καλύπτρα.
Η καλύπτρα εμποδίζει την καλή στοματική υγιεινή, υπολείμματα τροφών συσσωρεύονται εκεί και μικρόβια αναπτύσσονται. Μερικές φορές ο από πάνω φρονιμίτης μπορεί να προκαλεί τραυματισμό κατά τη μάσηση. Σαν συνέπεια προκαλείται φλεγμονή της περιοχής που ονομάζεται περιστεφανίτιδα.
![]() |
| Ουλική καλύπτρα |
Διακρίνεται σε οξεία και χρόνια.
Στην οξεία φάση έχουμε πόνο, μπορεί να έχουμε κακουχία, πυρετό και πρησμένους λεμφαδένες. Απόστημα μπορεί να δημιουργηθεί, το οποίο μπορεί να επεκταθεί στους παρακείμενους ιστούς, ενισχύοντας τα παραπάνω συμπτώματα.
Συμπληρωματικά μπορεί να υπάρχει δυσοσμία, κακή γεύση, τρισμός (δυσκολία στο άνοιγμα του στόματος), δυσφαγία, δυσκαταποσία (δυσκολία στη μάσηση και την κατάποση) και σα συνέπεια απώλεια της όρεξης.
![]() |
| Περιστεφανίτιδα |
Στη χρόνια φάση τα συμπτώματα είναι ηπιότερα. Κατά διαστήματα η χρόνια περιστεφανίτιδα μπορεί να μεταπέσει σε οξεία. Κόπωση, άγχος, στρες, ίωση και γενικότερη πτώση των αντιστάσεων του οργανισμού, μπορεί να προκαλέσει παρόξυνση της περιστεφανίτιδας.
Πόνος στην περιοχή μπορεί επίσης να οφείλεται σε τερηδονισμό, πολφίτιδα ή και νέκρωση του φρονιμίτη ή του παρακείμενου δεύτερου γομφίου, το οποίο δεν πρέπει να μας διαφύγει κατά την εξέταση. Επίσης προβλήματα της σύστοιχης κροταφογναθικής διάρθρωσης, ή μία τυπική ωτίτιδα μπορούν να προκαλούν πόνο.
![]() |
| Α ημιέγκλειστος φρονιμίτης με κλίση εγγύς και τερηδόνα
Β δεύτερος γομφίος με τερηδόνα C φλεγμαίνουσα ουλική καλύπτρα D υπερέκφυση του πάνω φρονιμίτη |
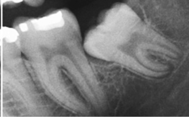
Τώρα πώς αντιμετωπίζουμε την περιστεφανίτιδα. Κατ’ αρχάς με μία ακτινογραφία τοπική ή πανοραμική εκτιμούμε την κατάσταση, τη θέση και τη φορά ανατολής του φρονιμίτη.
![]() |
| Ακτινογραφία που δείχνει τη φορά του φρονιμίτη |
Αν οι ενδείξεις μας είναι ότι δεν πρόκειται να ανατείλει ομαλά προχωρούμε σε εξαγωγή του είτε άμεσα είτε αργότερα. Με την εκτομή της ουλικής καλύπτρας απελευθερώνουμε το δόντι ώστε να καθαρίζεται καλά. Μερικές φορές μπορεί να εξαγάγουμε τον από πάνω φρονιμίτη αν τραυματίζει.
Σε περίπτωση οξείας φλεγμονής χορηγούμε αντιβίωση (συνήθως αμοξισιλίνη μαζί με μετρανιδαζόλη), παυσίπονα, παροχετεύουμε το πύον αν υπάρχει, κάνουμε πλύσεις στην περιοχή με οξυζενέ ή χλωρεξιδίνη που συνεχίζονται στο σπίτι. Εξαγωγή σε οξεία φάση (εν θερμώ) με τις σύγχρονες απόψεις δεν απαγορεύεται, αλλά τα μετεγχειρητικά συμπτώματα θα είναι πιο έντονα.
Πηγή: medlabgr.blogspot.com
Ιατρικά Νέα Θέματα για την υγεία | Το εγκυρότερο ελληνικό portal με θέματα υγείας, διατροφής, ομορφιάς, φυσικής κατάστασης, ιατρικών θεμάτων




